蔡伯伯一家子三代人都是法夏爾口腔智慧醫療團隊客戶,與團隊眾人特別熟悉有默契。手術前後他與太太兩人同進同出,讓大家羨煞夫妻倆的好感情!談起決定進行All-on-4全口重建的動機,就是來自家人:「我太太一直催!她說我牙齒一直掉,害她都要煮爛一點,家人怎麼吃!」儘管講的是抱怨,蔡伯伯卻滿臉笑意,太太的關懷與陪伴,不但促成了這次手術,也讓他在過程中很心安。
All-on-4 案例.術前煩惱|美食當前乾瞪眼 無牙辛苦誰人知
退休的蔡伯伯經常與家人到處旅遊,然而團體用膳的美好時光,卻總是造成他的煎熬,「沒辦法咬爛的話,很多東西都沒辦法吃。」「人家都說這東西很好吃,你怎麼不吃?他不了解我們沒有牙齒的痛苦。」雖然蔡伯伯開朗地笑著和大家分享旅遊經歷,不過還是感覺得到,因為活動假牙不穩定造成的咀嚼困難,讓他的每趟旅程或多或少蒙上些許遺憾。
「我這個假牙已經做好幾次,就是不斷掉牙、重做、掉牙、再重做。」蔡伯伯也談到一路使用活動假牙的不便,他說不穩固的問題實在是不堪其擾,外食時自己會使用黏著劑,但在家裡時連打個哈欠假牙都會掉下來,「孫子看到整個哈哈大笑!」
All-on-4 案例.術前諮詢|頂級環境設備 光走進來都覺得超舒適
「診所很乾淨,很少進來還要脫鞋子的!」診所致力提供潔淨舒適的環境,每天消毒,進入需更換拖鞋,給蔡伯伯留下深刻的印象。「我看設備也都很不錯,比如電腦斷層掃描。」他說透過先進的設備儀器,與醫師能夠利用圖像、數據、圖表等清楚溝通現況與後續治療方案,聽懂醫師的建議後,減輕很多術前焦慮與不確定感。
All-on-4 案例.手術當天|團隊伴左右 流程全程監控細心又貼心
手術當天,蔡伯伯說過程很舒服,完全沒有任何疼痛感與不適。其中,他最感動的是團隊的謹慎與貼心,每個環節都會有人來說明步驟、解釋流程,無時無刻受到醫護人員的關照,讓他不自覺放下了緊張的情緒。
All-on-4 案例.治療方案|TCI舒眠牙醫治療
蔡伯伯手術完全沒有任何疼痛與不適的秘密在於-TCI ( Target control infusion,標靶控制輸液) 舒眠牙醫治療。All-on-4 全口重建手術時,法夏爾口腔智慧醫療團隊搭配 TCI 舒眠牙醫治療,利用電腦軟體根據患者條件(年齡/性別/身高/體重等)計算藥物濃度,儀器透過靜脈注射精準給予鎮靜劑量並調配速度,過程中麻醉醫師全程監控,並搭配生理監測器、氧氣補給等各種輔佐設施,確保療程的安全與穩定。
All-on-4 全口重建手術治療時間較長、器材使用較多,難免造成患者的心理壓力。手術過程中,配合 TCI 淺層麻醉,患者既維持生理放鬆狀態,又仍可自行進行呼吸、吞嚥、反射等動作,在淺眠般自然舒適地完成 All-on-4 全口重建手術。而術後絕大多數患者都能在 10-15 分鐘舒服地醒來,作息幾乎不受影響,也極少發生噁心嘔吐等傳統全身麻醉的副作用。
All-on-4 案例.術後復原|恢復良好 專屬打造宛如自然牙
完成All-on-4 全口重建的案例往往對宛如真牙的穩定性和咬合能力讚不絕口,而且手術當天就能裝上臨時假牙,讓患者馬上就能驗收成果,感受牙齒重獲新生的喜悅。All-on-4 全口重建如此自然舒適的體驗來自造橋力學原理,在口腔顎骨植入 4 根植體,讓力量平均分配到整排牙齒,提供良好的支撐力和穩定性。
「在這裡裝好回去,跟之前活動假牙不一樣,就像屬於自己的自然牙齒。再也不必擔心牙齒掉,心情很好!」剛裝上臨時假牙,蔡伯伯就已經對成果讚不絕口,擺脫掉活動假牙的他一派輕鬆,遵照醫師指示安穩度過了復原期。
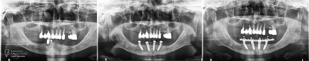
下顎 All-on-4 全口重建術前術後對比
All-on-4 案例.術後心得|終於可以吃蘋果!逢人必推,有口皆碑
「現在幾乎每天吃蘋果,以後不用因為假牙不穩定常常找醫生,定期檢查就好了!哈哈!」術後的蔡伯伯,如同解開束縛,終於能夠盡情享用各種美食。以前餐餐吃蘋果是遙不可及的奢望,現在總算再次成為幸福的日常,身體健康也多了保障。
蔡伯伯還提到全口重建的牙齒穩如泰山,不像活動假牙有時講話就掉下來;術後他每逢親友聚會就問:「看看我的牙齒有沒有不一樣?」大家紛紛回饋新牙做得很漂亮,讓他非常得意。手術後,他終於真正開始享受退休人生,總算可以無後顧之憂地和太太一起吃遍美食、自在出遊!
法夏爾口腔智慧醫療團隊
- 專業醫療團隊
- 頂尖數位設備
- 高規格手術室
- 嚴選植體品牌
法夏爾口腔智慧醫療團隊致力以「良善、正直」的態度建議患者適合的醫療方案,提供更快速、痛感輕的新式治療。我們以先進數位設備輔助,確保診斷及手術精準度;精良的手術環境及監控設備,嚴格把關手術風險;植體選用國內外深受信賴的領導品牌,保障您的植牙治療成果。
如您有任何牙齒問題,讓我們為您解答!
*提醒:任何手術及療程都有醫療風險存在,若患者有特殊病史、如高血壓、嚴重心血管疾病、嚴重糖尿病、免疫系統不全、癌症等,或婦女計劃懷孕,經醫師評估後並不適合此術式,請勿輕易嘗試。
經過專業牙科醫師診治後,術式會因為每個人的身體及牙齒狀況不同,治療效果也會因此而異。術後必須定期回診檢查,徹底清潔與保養,若有任何醫療上的問題,請隨時與診所連絡。