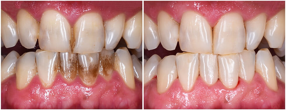
牙齒美白

牙齒為什麼會變黃?

日常飲食中,難免碰到天然或人工色素,如可樂、咖啡、紅酒、茶、咖哩、藍莓、醬油等深色食物。當色素沉澱在牙齒表面,就會導致本來的顏色改變。另外,若沒有餐後刷牙的習慣,食物菜渣殘留在口腔內,形成牙垢、牙菌斑、牙齦周遭的牙結石,或個人有抽菸、吃檳榔的習慣等,都是造成牙齒染色的原因。

knowledge whitening1 01

牙齒美白適合哪些族群?

  1. 有抽菸習慣,牙齒表面菸垢與茶垢厚重者。
  2. 牙齒表面有淺層髒污者。
  3. 注重日常保養者。
  4. 刷牙習慣與方式不正確者。
  5. 任何追求美觀,希望牙齒微美白者。

牙齒美白效果如何維持?

  1. 少喝茶類、咖啡、紅酒等含高色素飲料。
  2. 不抽菸、不吃檳榔。
  3. 飯後立即刷牙、漱口。
  4. 定期做居家保養,定期洗牙 。
  5. 定期進行牙齒美白保養療程。

牙齒美白的方法有哪些?

在醫師檢查下,可得知自身牙齒變色原因為外因性還是內因性。外因性染色多為飲食造成,例如菸垢、檳榔垢、咖啡、茶等,這類染色經由噴砂美白就可去除。內因性染色如四環黴素、氟化物沉澱等,這類染色必須依情形使用雷射、冷光美白或居家美白,才能有效去除。

任何牙齒美白療程都需先經過醫師詳細評估,若有蛀牙、牙周病,應先治療完後,再進行牙齒美白療程,否則容易造成牙齒敏感酸痛,甚至導致牙齒或牙齦發炎。

市面上常見的牙齒美白方法效果和費用都大不相同,詳細說明如下:

1. 美白牙膏:
美白牙膏屬於物理牙齒美白,比起一般牙膏顆粒更粗,可刷除牙齒表面染色分子,避免其形成頑強牙垢,有助牙齒表面光滑,減少色素殘留,延長美白效果。

2. 美白牙貼:
市售美白牙貼含有過氧化氫,或其他較不易引起牙齒、牙齦酸軟的過氧化物成份,可幫助牙齒漂白,也是多數牙齒美白療程中使用的成份。美白牙貼使用方法必須詳細參閱使用說明,才可正確消除沈澱色素,使用前也最好先到診所檢查是否有蛀牙,避免使用時牙齒產生不適感。

美白貼片

3. 居家美白:
診所居家牙齒美白療程,配合您的口腔齒模客製化美白牙托,輔助美白藥劑有效均勻服貼附著齒面,達成牙齒美白效果。居家美白適用於內因性染色患者,療程約 2-4 周,療程施作前,需諮詢專業牙醫師,詳細檢查口內有無蛀牙,避免美白藥劑滲入蛀牙處產生不適感。

居家美白

4. 噴砂美白:
噴砂美白屬於物理牙齒美白,可治療外因性染色牙齒,例如抽煙、咖啡、茶、檳榔等導致的色素沉積問題。

牙齒噴砂

5. 冷光美白:
冷光美白比起居家美白藥劑濃度更高,對牙齒及牙齦刺激性也更高,需在專業牙科診所由牙醫師進行,以確保安全。
因每個人牙齒染色程度不同,光照約 15-20 分鐘,可分週進行 2-3 次,療程時間約 60-90 分鐘,適用因深色食物造成的色素沉澱。

knowledge whitening1 06

6. 陶瓷貼片:
若牙齒本身顏色偏黃,或輕微齒型排列不整,可透過陶瓷貼片一次完成牙齒亮白及牙齒微型調整。
陶瓷貼片本身具有接近自然牙的色澤,是假牙經常使用的材質。將牙齒修磨後,貼上一層薄薄的陶瓷貼片(約 0.3 – 0.7mm),即可達到終身美白效果。

陶瓷貼片

陶瓷貼片

陶瓷貼片是什麼?

陶瓷貼片由全陶瓷製成,是目前公認最美觀自然的贋復材質,而新式全瓷貼片相當輕薄,厚度只有 0.3-0.7 mm,利用特殊技術黏著在牙齒表面,像為牙齒戴上面具,可全方位改善笑容。

knowledge whitening1 07

陶瓷貼片可改善哪些問題?

  1. 牙齒變色:例如蛀牙產生黃斑或嚴重變色、脫鈣出現白斑、根管治療導致牙齒變色等。
  2. 牙齒缺損:小部分牙齒缺損,例如缺角或輕微齒裂。
  3. 齒縫過大:前牙因為齒縫過大而不美觀,也能透陶瓷貼片進行矯正,但如果是嚴重齒列不整,建議接受牙齒矯正治療。
  4. 調整牙齒大小:牙齒偏小、左右牙齒不對稱、牙齒比例不佳等問題,也能藉由陶瓷貼片改善。
  5. 改變微笑曲線。
陶瓷貼片可改善哪些問題

陶瓷貼片有什麼優缺點?

優點
缺點
1. 不易影響咬合:
相較於全瓷冠、假牙等療程,陶瓷貼片施作範圍僅限於牙齒表面,且厚度只有 0.3 - 0.7mm,基本上不影響咬合
1. 必須修磨牙齒:
施作陶瓷貼片之前要修磨部分真牙,因此一定要找值得信賴的牙醫診所施作,降低陶瓷貼片失敗、後悔的風險
2. 牙齒美白效果佳:
陶瓷是目前公認最自然的贋復材質,不易變色或損壞,可達到很好的美白效果
2. 價格較高:
相較於一般樹脂貼片,陶瓷貼片價格稍高,但考慮到陶瓷材質穩定、施作後相容性高、不易變色且較堅固的特性,醫師通常還是會建議使用陶瓷貼片,一勞永逸解決牙齒問題
3. 直接改變牙齒形狀:
對輕微齒列不整的患者來說,陶瓷貼片可直接改變牙齒形狀,滿足縮小齒縫、調整牙齒大小等需求

陶瓷貼片7大常見問題

  • 1. 陶瓷貼片適合哪些族群?

    基本上大部分的人都可以喔。但如果您本身是磨牙患者,或者是咬合力大的患者,則需先讓醫師評估看是否適合做貼片,有時還必須搭配防磨牙牙托,以保護做好的陶瓷貼片。

  • 2. 陶瓷貼片必須磨牙齒嗎?

    陶瓷貼片是客製化的美容療程,每個人牙齒狀況不同,需經專業醫師評估,共同討論合適方式並視情況決定牙齒修磨量。若需修磨,醫師通常利用牙科顯微鏡,將修磨量控制在 0.3mm 左右的範圍,在健康與美觀中取得平衡。

  • 3. 做完陶瓷貼片,牙齒會不會冷熱敏感呢?

    大部分不會有冷熱敏感的狀況喔。只有少部分患者,會在剛回去的 3 - 5天適應期,有敏感的狀況,接著都會在 1-2週內慢慢消退。

  • 4. 做完陶瓷貼片,可以吃比較硬的食物嗎?

    牙齒本來就不適合拿來咬過硬的食物,例如:骨頭、螃蟹殼、瓜子等,這些習慣長期下來會耗損牙齒。做了陶瓷貼片後,硬度和原生牙齒其實差不多,需小心使用哦!

  • 5. 陶瓷貼片可以使用多久?

    陶瓷是很堅固的材質,一般來說陶瓷貼片的使用壽命都至少有十年,只要記得每天仔細清潔、定期回診保養,狀況都可以維持得很好喔!

  • 6. 陶瓷貼片的價位大約多少呢?

    目前陶瓷貼片的價位,一顆約落在 2萬 - 3萬之間,所謂「一分錢一分貨」、「價值大於價格」,是長久不變的真理。使用原廠陶瓷塊,加上醫師、技師精湛工藝的陶瓷貼片,一定有其相對應的價位。

  • 7. 做完陶瓷貼片該如何保養呢?

    完成陶瓷貼片療程後,最重要的是必須建立正確清潔習慣,每日確實使用牙刷、牙線。且每半年定期回診,讓醫師進行保養與追蹤。

牙齒美白

Whitening

冷光美白

冷光美白是什麼?

冷光美白主要是利用過氧化氫釋放出來的自由基,分解牙齒上沉積已久的有色物質。

冷光美白

冷光美白療程需要多久時間?

視每個人牙齒染色程度而定,光照約 15-20 分鐘,進行 2-3 次,療程時間約 60-90 分鐘,適用因深色食物造成的色素沉澱,但因為冷光美白比居家美白藥劑濃度高,對牙齒及牙齦刺激性也更高,所以需在專業的牙科診所由牙醫師進行,以確保安全。

冷光美白有什麼優缺點?

優點
缺點
1. 藥劑濃度較雷射美白低,對牙齒比較溫和
1. 療程後可能會牙齒酸痛、過敏現象
2. 療程快速,可快速改變牙齒色階(每個人做完冷光美白後可以白幾階是不一定的)
2.牙齒可能會有螢光反應
3.蛀牙、牙周病者不適用冷光美白
4. 不建議常使用,因為美白藥劑容易對牙齒造成傷害

冷光美白需要做什麼術前評估?

  1. 和醫師討論、評估牙齒狀況。
  2. 平時飲食、口腔衛生習慣調查。
  3. 拍攝牙齒比色照片。
  4. 確認牙齒染色原因,以確保冷光美白效果。
拍攝牙齒比色照片

牙齒美白

Whitening

噴砂美白

噴砂美白是什麼?

噴砂美白可治療外因性染色的牙齒,通常為飲食造成,例如抽煙、咖啡、茶、檳榔等導致的牙齒色素沉積問題。

噴砂美白的原理是利用氣壓把細小的碳酸鈉粒子,噴在附著於牙齒表面的污垢及斑點上,碳酸鈉粒子可有效清除表面汙垢,且不會對牙齒造成損傷。

噴砂美白是用物理性方式,清除附著在牙齒表面上的汙垢,效果好又不傷害牙齒。吃檳榔或是抽菸的朋友們常有牙齒色素沈積問題,雖然這些顏色不會傷害牙齒本身,但滿口黑牙總是不好看,噴砂美白可有效解決困擾。

whitening shutterstock 2260000373

牙齒美白

Whitening

居家美白

居家美白是什麼?

居家美白是利用過氧化氫美白白凝膠讓牙齒變白,進而使色素分解。美白療程中,約有 20% 的患者會感到輕微酸痛。

居家美白使用方式

居家美白適合哪些族群?

幾乎所有人都適合進行牙齒美白療程,但仍有少數例外情況,例如:孕婦或哺乳者、全身性疾病、牙齦萎縮、或牙根外露牙齒較敏感者,醫師皆會先為患者進行檢查及診斷後,再與患者討論適合的牙齒美白療程。

居家美白療程需要多久時間?

療程時間依牙齒美白療程的不同,治療次數有所不同,需一至多次約診,因牙齒和美白藥劑接觸時間相較其他美白方式長,美白效果較為徹底,居家美白大約需要 2-4 週左右。

居家美白牙托每天需配戴多久時間?

每日睡前將凝膠約擠一個米粒於牙托並戴在牙齒上,在家配戴至少 4-6 小時。

睡前凝膠
tr 3 ortho pcd 99back

牙齒美白

Whitening