【陶瓷貼片】藏風險!為美白修磨牙齒後悔來不及?

share

戴著珍珠耳環的少女-瑪麗亞外型亮眼可愛,愛漂亮的她前來諮詢牙齒美白,希望實現更無瑕的笑容。

「什麼!陶瓷貼片可以客製化美白的顏色?不過聽說那要磨牙齒不是嗎?」儘管她一心追求美白,還是語帶保留。18 世紀「牙科之父」法夏爾則是滿心期待更深入了解現代發展的美白技術,馬上藉機向法夏爾口腔智慧醫療團隊學習一番…

Q1.「陶瓷貼片」是什麼?

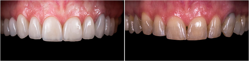
「陶瓷貼片」也稱為「瓷牙貼片」、「全瓷貼片」,是牙齒美白的方式之一。當牙齒本身顏色偏黃,或是輕微齒型排列不整,陶瓷貼片可一次完成牙齒美白及牙齒的微型調整。陶瓷硬度高又具有接近自然牙的色澤,是假牙經常使用的材質。牙齒修磨後,貼上一層薄薄的陶瓷貼片,是能達到終身牙齒美白效果的方法。

陶瓷貼片
陶瓷貼片又稱瓷牙貼片,硬度高、色澤自然,是非常普遍的假牙材質。

Q2.「陶瓷貼片」和「全瓷冠」有何不同?

除了陶瓷貼片,或許您也聽過「全瓷冠」。兩者材質都是陶瓷,最大差異點在於施作時「牙齒包覆的範圍」,故「牙齒修磨量」也不同。

陶瓷貼片多使用於前牙,如門牙、虎牙;而全瓷冠全口皆適用,可包覆整顆缺損牙齒,如根管治療剩餘脆弱的牙齒。在此整理表格,提供您一次了解兩者差異:

陶瓷貼片全瓷冠
別稱瓷牙貼片、全瓷貼片全瓷牙冠、全瓷冠假牙、陶瓷假牙、全瓷牙套
用途美白牙齒及修復牙齒
(例如牙齒缺角)
美白牙齒及修復牙齒
(例如根管治療)
包覆範圍覆蓋外側牙齒包覆整顆牙齒
牙齒修磨量取決於牙齒的旋轉的角度
平均值約0.3-0.7mm
修磨整顆牙齒
咬合適應不影響咬合與原本牙齒咬合感覺不同,需一段時間適應
敏感狀況牙齒修磨量少,術後仍有機會有些微的敏感狀況因牙齒修磨量多,術後敏感可能性較高(若經根管治療則不會敏感)

Q3. 做「陶瓷貼片」一定要修磨牙齒嗎?

您可能會疑惑,為何要修磨牙齒,難道不能直接貼上陶瓷貼片嗎?因陶瓷貼片黏貼於牙齒表面,絕大多數情況下都需修磨部分牙齒,才能完美貼合,否則反而衍生產生暴牙等不美觀的問題。但別擔心,目前數位微笑設計 DSD(Digital Smile Design) 可預先知道陶瓷貼片厚度多介於 0.3-0.7 mm之間,可大幅減少牙齒修磨量。

3.陶瓷貼片如指甲
實際執行陶瓷貼片時,牙齒修磨量很少。厚度介於0.3-0.7 mm之間的陶瓷貼片,大約薄如指甲。

Q4.「陶瓷貼片」看起來會不自然嗎?

陶瓷貼片的陶瓷材質,擁有接近真牙的色澤和透光度,看起來非常自然!而且,您不但可以和醫師討論希望的牙齒色階,製作貼片時,醫療團隊還會在陶瓷貼片表面上進一步加上細緻紋理,讓您的笑容更加完美自然。

shutterstock 1978215035
陶瓷貼片可客製化顏色,還有專業工法處理紋理,讓牙齒看起來更自然。

Q5.「陶瓷貼片」術後可使用多久?

陶瓷貼片若經專業療程執行完成,且術後妥善清潔保養之下,一般可使用10-20 年以上,甚至近乎永久。

shutterstock 2234137077
專業療程完成的陶瓷貼片耐用度佳。

Q6.「陶瓷貼片」有可能掉落嗎?

即使陶瓷貼片非常薄,但經過專業施作處理後,可與牙齒完美結合,不容易脫落或破損。

knowledge whitening1 07
陶瓷貼片能否完美貼合牙齒也取決於醫師的經驗及專業。

Q7.「陶瓷貼片」如何保養?

良好的保養習慣能確保陶瓷貼片穩定使用,年限維持近乎永久。正確的保養方式包含以下幾個重點。

1. 陶瓷貼片保養重點 1 | 做好清潔工作
按時刷牙,並使用牙線、牙間刷或沖牙機等做好徹底清潔。

植牙術後如何清潔?
清潔工作是保養陶瓷貼片的基本功。

2. 陶瓷貼片保養重點 2 | 避免咬過硬食物
啃咬過硬的食物如骨頭、甲殼類海鮮等會增加陶瓷貼片損壞的風險。

shutterstock 2303660757
大啖海鮮時小心也將陶瓷貼片暴露在風險中。

3. 陶瓷貼片保養重點 3 | 減少食用染色食物
雖然陶瓷貼片材質光滑難以被染色,但以長期維護的角度來說,盡量避免染色食物還是上策。

knowledge whitening1 01
生活中的染色食物隨處可見,如咖啡、紅酒、茶、番茄醬、咖哩等。

4. 陶瓷貼片保養重點 4 | 定期牙齒檢查
檢查追蹤仍不可少,讓醫師協助你保持陶瓷貼片的最佳狀態!

舒眠植牙安全嗎?
定期牙齒檢查能協助您追蹤陶瓷貼片狀態,確保使用年限更長久。

Q8.「陶瓷貼片」適用/推薦情境?

1. 陶瓷貼片適用情境 1 | 追求牙齒美白
若牙齒本身顏色偏黃、或有嚴重染色問題,美白貼片可客製化您期望的齒色,打造完美無瑕的笑容。

2. 陶瓷貼片適用情境 2 | 齒間細小牙縫
牙齒之間的細小牙縫,透過陶瓷貼片就能微型調整,讓齒列更整齊。

3. 陶瓷貼片適用情境 3 | 牙齒輕微缺損
當牙齒有部分缺角、裂縫等問題,陶瓷貼片都可以修復外觀。

4. 陶瓷貼片適用情境 4 | 改變牙齒大小
陶瓷貼片可調整牙齒大小,塑造您理想中的牙齒外觀。

knowledge whitening1 08
陶瓷貼片可客製牙齒色階
11.陶瓷貼片調整
不只牙齒美白,陶瓷貼片還能做到牙齒微型調整。

聽完團隊解說,瑪麗亞這才知道陶瓷貼片牙齒修磨量極少,通常不至於引發敏感問題,立刻把陶瓷貼片也列入考慮。

在法夏爾生活的 18 世紀,維持牙齒健康已是難事,更何況追求美白呢?現代分工更細緻更專業的牙醫領域讓他又學了一課,也開心牙科醫學能照顧到越來越多患者的需求!

誰是法夏爾?

kn all p

牙醫師法夏爾(Pierre Fauchard)
活躍於18世紀法國,

他首度把牙科從外科醫學獨立出來,

奠定牙科醫學專業,被稱為「現代牙科之父」。

「法夏爾來看牙」知識分享中,「現代牙科之父」法夏爾,將與法夏爾口腔智慧醫療團隊跨時代相遇,共同解決古今中外名人的牙齒疑難雜症,邀你一起參與,見證牙醫科學的奇蹟!

法夏爾口腔智慧醫療團隊

法夏爾口腔智慧醫療團隊致力以「良善、正直」的態度建議患者適合的醫療方案,提供更快速、痛感輕的新式治療。我們以先進數位設備輔助,確保診斷及手術精準度;精良的手術環境及監控設備,嚴格把關手術風險;植體選用國內外深受信賴的領導品牌,保障您的植牙治療成果。

如您有任何牙齒問題,讓我們為您解答!

*提醒:任何手術及療程都有醫療風險存在,若患者有特殊病史、如高血壓、嚴重心血管疾病、嚴重糖尿病、免疫系統不全、癌症等,或婦女計劃懷孕,經醫師評估後並不適合此術式,請勿輕易嘗試。

經過專業牙科醫師診治後,術式會因為每個人的身體及牙齒狀況不同,治療效果也會因此而異。術後必須定期回診檢查,徹底清潔與保養,若有任何醫療上的問題,請隨時與診所連絡。