咬合不正會惡化嗎?一旦拖延治療,這幾個後果你該知道!

share

蒙娜麗莎的笑容為人稱道,卻鮮少有人知道她在公共場合絕對不張口的秘密。

原來,咬合不正的問題困擾她許久,卻因擔憂大眾眼光而遲遲沒有接受治療,直到丈夫鼓勵下,才前來法夏爾口腔智慧醫療團隊諮詢。聽到這次是牙齒矯正諮詢,18 世紀的「牙科之父」法夏爾充滿幹勁,畢竟他可是歷史上首位提出牙齒矯正的牙科醫師,而如今的牙齒矯正,又發展到什麼地步了呢?

Q1. 咬合不正是什麼?

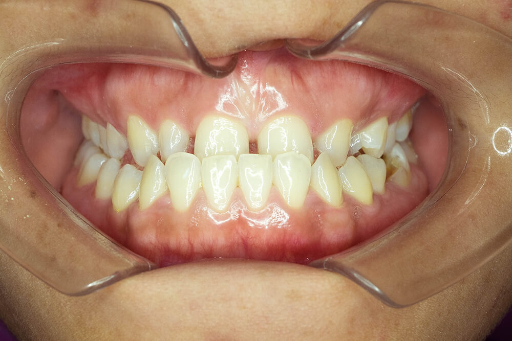
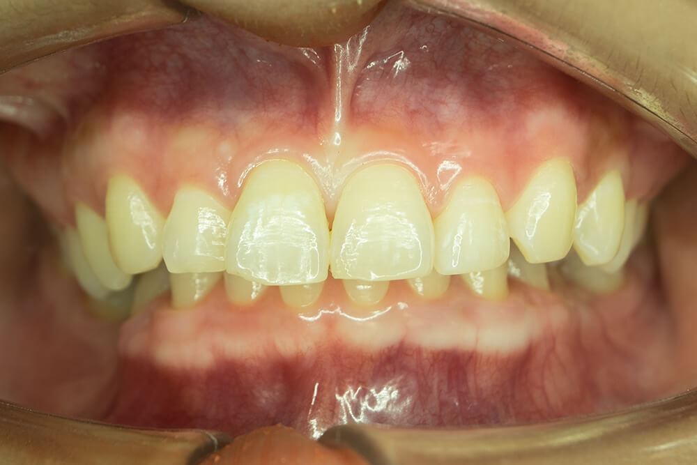
「咬合不正」簡單來說就是牙齒不整齊,先天遺傳或後天習慣不良(如缺牙未補、吸吮手指、幼兒時期吸奶嘴奶瓶)都可能是造成咬合不正的原因。牙齒最理想的排列是沒有歪斜、擠壓、欠缺的狀況。

咬合不正
上排門牙覆蓋些許下排門牙是較理想的咬合狀態。

Q2. 咬合不正類型?

牙齒不整齊聽起來簡單,實際狀況卻複雜多變!以下整理常見類型,提供您更深入了解:

1. 開咬

當把嘴巴閉合時,上下顎門牙牙部分無法互相碰觸、留下空隙,甚至連嘴唇都無法閉緊。

咬合不正-開咬
開咬狀況如上圖。

2. 深咬

上下顎咬合時,正常狀況下,理想咬合為上排牙齒覆蓋下排2mm,當下排牙齒被覆蓋過多、超過 4mm 以上,此狀況為深咬。

咬合不正-深咬
深咬狀況如上圖。

3. 錯咬

上排門牙在咬合時落在下排門牙的內側,患者通常有下巴較長的困擾,俗稱為「戽斗」。

咬合不正-錯咬
前牙錯咬狀況如上圖。

4. 暴牙

當上顎或上排牙齒過於突出即稱為暴牙,患者通常也有下巴較小的問題。

咬合不正-暴牙
暴牙狀況如上圖。

5. 中線不正

症狀為上下排門牙中線無法對齊,顎骨不對稱、左右牙齒尺寸差距大等都可能造成此問題。

6. 牙齒擁擠

當牙床空間不足或牙齒過大,因而造成牙齒互相推擠、部分重疊的狀況。

7. 牙齒縫隙大

與前述牙齒擁擠相反,當牙床空間太大或牙齒太小,牙齒排列變得鬆散,使得牙齒間的縫隙變得太大。

Q3. 如何自我檢視是否咬合不正?

您可運用以下 3 大重點,初步自我檢視是否有咬合不正的問題,但仍更建議您實際到診所諮詢才能準確掌握自身健康狀況喔!

1. 臉部外觀

觀察嘴唇是否偏凸、門牙是否向內或向外傾斜。

2. 正面觀察

上下顎是否對齊中線、上排門牙是否可些許覆蓋下排門牙約 1-3mm。

3. 側面觀察

咬合時,下巴是否突出或內縮。

Q4. 咬合不正會惡化嗎?造成的影響?

咬合不正對生活影響層面很廣,若延誤治療,隨著時間過去,症狀更會逐漸惡化,千萬不可輕忽!以下是未治療咬合不正可能帶來的後果:

 1. 影響咬合功能

咬合不正最直接影響的就是口腔功能,可能引發的問題如咀嚼不佳影響消化系統、發音困難咬字障礙、顳顎關節病變等。

2. 影響口腔清潔

咬合不正如牙齒歪斜、推擠、牙縫大等都容易造成清潔死角,牙菌斑、牙結石堆積之下,讓蛀牙及牙周病發生機率大增。

3. 影響外型美觀

咬合不正牽涉層面甚廣,如前述包含暴牙、戽斗、下巴內縮等狀況,若養成慣性只靠單側咀嚼,長期下來可能造成臉歪、下巴歪等不良後果。

咬合不正會惡化嗎
長期咬合不正可能引發臉歪、下巴歪等更多後遺症。

Q5. 咬合不正有哪些治療方式?

咬合不正問題複雜多樣,牙醫師會依個案實際狀況評估,提供不同治療方案。常見咬合不正治療方式如下:

1. 傳統牙齒矯正

傳統牙齒矯正器就是大家印象中的金屬材質牙套。傳統牙齒矯正器發展歷史悠久,固定矯正托架在牙齒上,利用橡皮筋和金屬線的拉力,讓牙齒排列整齊。傳統牙齒矯正器問題是較不美觀,清潔不易、及金屬材質容易刮傷口腔,配戴起來較不舒適。

咬合不正治療
傳統牙齒矯正需利用橡皮筋和金屬線的力道協助牙齒排列整齊,異物感強烈。

2. 自鎖式牙齒矯正

自鎖式牙齒矯正器改良傳統牙齒矯正器的痛點,不需依賴橡皮筋或金屬線來固定矯正線,而是以「掀蓋設計」的矯正托架取代,較不會刮傷口腔,並減少卡食物的機會,醫師調整也更方便。

咬合不正
自鎖式牙齒矯正如戴蒙矯正器改良為掀蓋設計,不但減少異物感、同時增加牙齒移動效率。

3. 隱形牙齒矯正

隱形牙齒矯正器是以數位設備取得牙齒資訊,為個別患者量身打造的專屬牙齒矯正器。採用專利熱塑性材料,牙套包覆整個牙齒表面施力,無需矯正托架和矯正線的特色讓它異物感較前兩者低許多,且使用者可自行穿戴,清潔牙齒輕鬆方便。

 

延伸閱讀: 隱適美怕失敗、怕選錯?專業醫師團隊帶您看門路

隱形矯正
隱適美最為舒適美觀,但也仰賴患者的自律程度,需配合療程佩戴足夠時數才能獲得最佳療效。

4. 跨科治療

針對較複雜的情況,可配合牙齒矯正、假牙、陶瓷貼片、植牙等複合式治療。

5. 拔牙

若是牙齒排列擁擠,有時會需要拔牙以取得較充足的牙齒矯正空間。

6. 正顎手術

正顎手術可調整上下顎骨位置,適用於嚴重的咬合不正、骨性暴牙、臉部歪斜、戽斗等。

Q5. 咬合不正矯正費用?

經過上述介紹,若您想進一步了解治療費用,以下列舉 3 大主要矯正方式的費用及比較提供您參考,但由於每個人的口腔狀況、治療期待、健康條件等各有不同,實際報價仍需透過諮詢才能準確評估,誠摯歡迎您透過線上諮詢與法夏爾的專人聯繫!

牙齒矯正費用範圍美觀度清潔難易度舒適度療程時間
傳統牙齒矯正10-14萬依材質而定異物感較強烈
自鎖式牙齒矯正12-16萬依材質而定較短
隱形牙齒矯正15-30萬易,可拆卸較長

Q6. 新北、基隆牙齒矯正推薦?

牙齒與生理心理健康息息相關,若您發現自身有咬合不正的問題,千萬不可大意、務必及早治療!
法夏爾口腔智慧醫療團隊由近30年資深牙科背景的台大醫師組成,深耕北北基生活圈多年,是深受在地民眾信賴、一致推薦的口腔健康專家。

初次諮詢時,法夏爾即會利用全口x光片,加上全面檢查口腔狀況,由牙醫師與您討論牙齒矯正計畫。確認矯正治療後,利用各種數位設備如口掃機、3D建模等協助精準治療。針對個別矯正計畫,安排專人負責追蹤,通知您定期回診、並充分告知注意事項,竭力確保治療品質,全方位看護您的健康。
歡迎您透過線上諮詢與我們聯繫,親身體驗法夏爾的專業與用心!

牙齒矯正推薦
醫療團隊的專業與用心才能成就您的完美笑容。

「哇,原來牙齒不整齊還有這麼多學問!」蒙娜麗莎聽了咬合不正的類型,逐一比照起自己的牙齒狀況。
法夏爾也跟著細細研究各種不同情境與治療方案,其中,隱形牙齒矯正利用專利熱塑型材料,大幅改善傳統牙齒矯正的痛點,讓他眼睛為之一亮,「想不到如此透明輕薄的牙套,竟也能達到優秀的矯正治療效果啊!」

誰是法夏爾?

kn all p

牙醫師法夏爾(Pierre Fauchard)
活躍於18世紀法國,

他首度把牙科從外科醫學獨立出來,

奠定牙科醫學專業,被稱為「現代牙科之父」。

「法夏爾來看牙」知識分享中,「現代牙科之父」法夏爾,將與法夏爾口腔智慧醫療團隊跨時代相遇,共同解決古今中外名人的牙齒疑難雜症,邀你一起參與,見證牙醫科學的奇蹟!

法夏爾口腔智慧醫療團隊

法夏爾口腔智慧醫療團隊致力以「良善、正直」的態度建議患者適合的醫療方案,提供更快速、痛感輕的新式治療。我們以先進數位設備輔助,確保診斷及手術精準度;精良的手術環境及監控設備,嚴格把關手術風險;植體選用國內外深受信賴的領導品牌,保障您的植牙治療成果。

如您有任何牙齒問題,讓我們為您解答!

*提醒:任何手術及療程都有醫療風險存在,若患者有特殊病史、如高血壓、嚴重心血管疾病、嚴重糖尿病、免疫系統不全、癌症等,或婦女計劃懷孕,經醫師評估後並不適合此術式,請勿輕易嘗試。

經過專業牙科醫師診治後,術式會因為每個人的身體及牙齒狀況不同,治療效果也會因此而異。術後必須定期回診檢查,徹底清潔與保養,若有任何醫療上的問題,請隨時與診所連絡。