牙周病是什麼?原因、症狀與治療方法一次了解

share

貝多芬長期疏於保養牙齒,蛀牙、缺牙、牙周病等大小毛病讓他苦不堪言。

這天,他總算到法夏爾口腔智慧醫療團隊諮詢,也確認接受植牙療程以恢復口腔功能。「什麼?由於牙周病還不能植牙?」急切想搞定口腔問題的他顯得有點焦慮。醫師細心向他解釋,植牙前,恢復口腔健康可是基本功!18 世紀「牙科之父」法夏爾在旁豎起耳朵專注聆聽,深入學習這個常見的口腔疾病_牙周病!

Q1. 牙齦炎和牙周病的不同?

牙齒周圍組織發炎大多是由於口腔清潔不佳、牙菌斑堆積引起。牙菌斑附著在牙齒表面會逐漸鈣化成牙結石,兩者引起牙周發炎反應,依病況可再分為牙齦炎與牙周炎兩種:

1. 牙齦炎

常見牙周疾病,牙齦組織是主要發炎範圍,症狀為牙齦敏感、紅腫、出血等,嚴重者牙齦可能轉變為深紅色、紫色等,但齒槽骨沒有流失。

2. 牙周病

當牙齦炎狀況未獲改善,牙菌斑、牙結石和食物殘渣繼續堆積在牙周,從牙齒表面往牙根底部滲透、擴散侵蝕到牙齦下方的齒槽骨及牙周韌帶等,進一步導致齒槽骨流失、牙齒開始鬆動搖晃。

牙齦發炎膿包
正常牙齦顏色為粉紅色,發炎牙齦顏色會轉為紅色。

Q2. 牙周病的原因?

如前面所說,牙周病的源頭是牙菌斑。牙菌斑是由細菌和唾液、口腔細胞等組成附著在牙齒和牙齦的黏稠薄膜,當牙菌斑未被妥善清除,隨著時間累積容易在牙齦周圍鈣化形成牙結石,牙結石的表面更粗糙容易附著細菌,進而發展成蛀牙、牙齦炎、或破壞齒槽骨的牙周病等。

teeth implant 2502 3
牙菌斑鈣化堆積在牙齦周圍,形成黃色或棕色的牙結石。

Q3. 牙周病的症狀?

牙周病早期症狀並不明顯,故經常被患者忽略而錯失治療時機。若您有以下症狀,務必盡快檢查以確保口腔健康:

1. 牙齦流血

牙齦受到感染威脅時,會擴張微血管加速輸送血液以抵抗細菌入侵,因而發生充血現象。此時,咀嚼或刷牙都容易流血,情況惡化時牙齦會轉為深紅色、紫色,甚至化膿。

2. 口臭

牙周病細菌破壞牙齦和牙周組織,牙齦邊緣和牙齒根部會產生「牙周囊袋」,更加容易滋生細菌。細菌分解食物殘渣飄散異味,就是口臭的原因。

3. 牙縫變大

牙周病牙齦萎縮會導致本應被牙肉填滿的範圍暴露出來,或者齒槽骨被侵蝕牙齒鬆動位移,都會讓牙縫看起來變得更大。

延伸閱讀:牙縫大怎麼辦?原因、預防與矯正解決方案一次告訴你

4. 牙齒鬆動位移

當罹患牙周病、齒槽骨流失,牙齒會漸漸無法承受正常咬合而鬆動位移,而周遭牙齒也會因咬合力道失去平衡受到影響,逐漸改變位置。

5. 牙齦萎縮、牙齒脫落

最終階段,一旦牙齦萎縮嚴重、骨質也被破壞殆盡,牙齒失去支撐力和包覆力,最終牙齒便會脫落,導致缺牙問題。

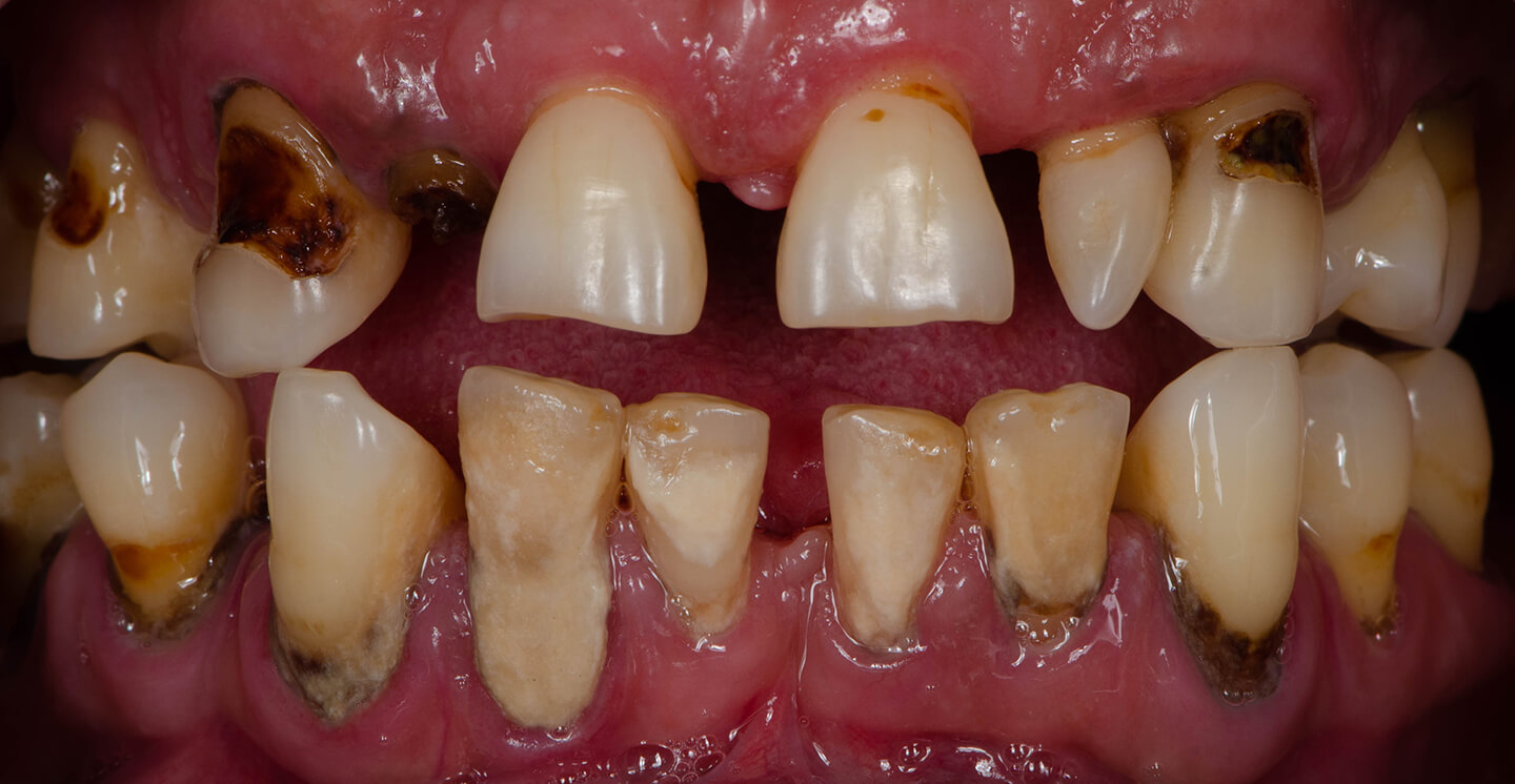
teeth implant 2502 4
牙周病導致牙齦萎縮、牙根裸露。

Q4. 牙周病如何治療?

牙周病的治療方式可分為以下三個階段:

1. 基礎治療

主要任務是去除牙結石和排除造成牙齒發炎的問題。治療方式包含:

  • 洗牙:利用超音波和器械清除牙結石。
  • 牙根整平術:以牙周刮刀刮除牙根表面的牙結石。
  • 水雷射:水分子吸收雷射能量產生動能與熱能,可深入到牙周囊袋和牙根處清除牙結石,同時具有殺菌、活化組織、傷口小、復原快等優點。

2. 手術治療

若第一階段治療後狀況仍不理想,可評估手術治療亦可搭配水雷射治療:

  • 牙周翻瓣手術:將牙齦切開徹底清除牙根表面牙結石。
  • 齒槽骨整修手術:經由手術修整齒槽骨,減少因齒槽骨流失而形成的缺損死角。
  • 牙周再生手術:在齒槽骨缺損處置入骨粉、再生膜等再生材料,使齒槽骨重新生長。

3. 牙周維護

進行牙周病治療後,每 3 個月定期回診,進行檢查、清潔與保養,預防牙周病復發。

teeth implant 2502 5
水雷射可更深入牙根清潔,且傷口小、復原快、減少感染機率。

Q5. 牙周病治療費用?

看完前述牙周病不同階段的治療方式,您應該明白,牙周病依個案不同而各有不同處置方式,治療費用是沒辦法一概而論的!其實,許多牙周病基礎治療健保均有給付,以下羅列部分重點項目供您參考,實際費用仍建議您諮詢醫師才能獲得準確報價。馬上透過線上諮詢獲得資訊>>

費用類型項目
健保給付洗牙、牙根整平、牙周翻瓣、牙周敷料、牙周病緊急處置
自費項目水雷射、牙周再生手術

Q6. 牙周病可以植牙嗎?

那麼,若因牙周病牙齒脫落,可以植牙嗎?植牙是在缺牙處植入植體(人工牙根)、再裝上假牙的手術,咬合力如同真牙,體驗舒適。需要特別注意的是,牙周病患者需要徹底治療牙周病後才能進行植牙,否則受到感染的齒槽骨仍有細菌,很可能影響齒槽骨與植體結合,最終導致植體脫落、植牙失敗!

延伸閱讀:【數位植牙】技術大革新!告別傳統植牙手術誤差

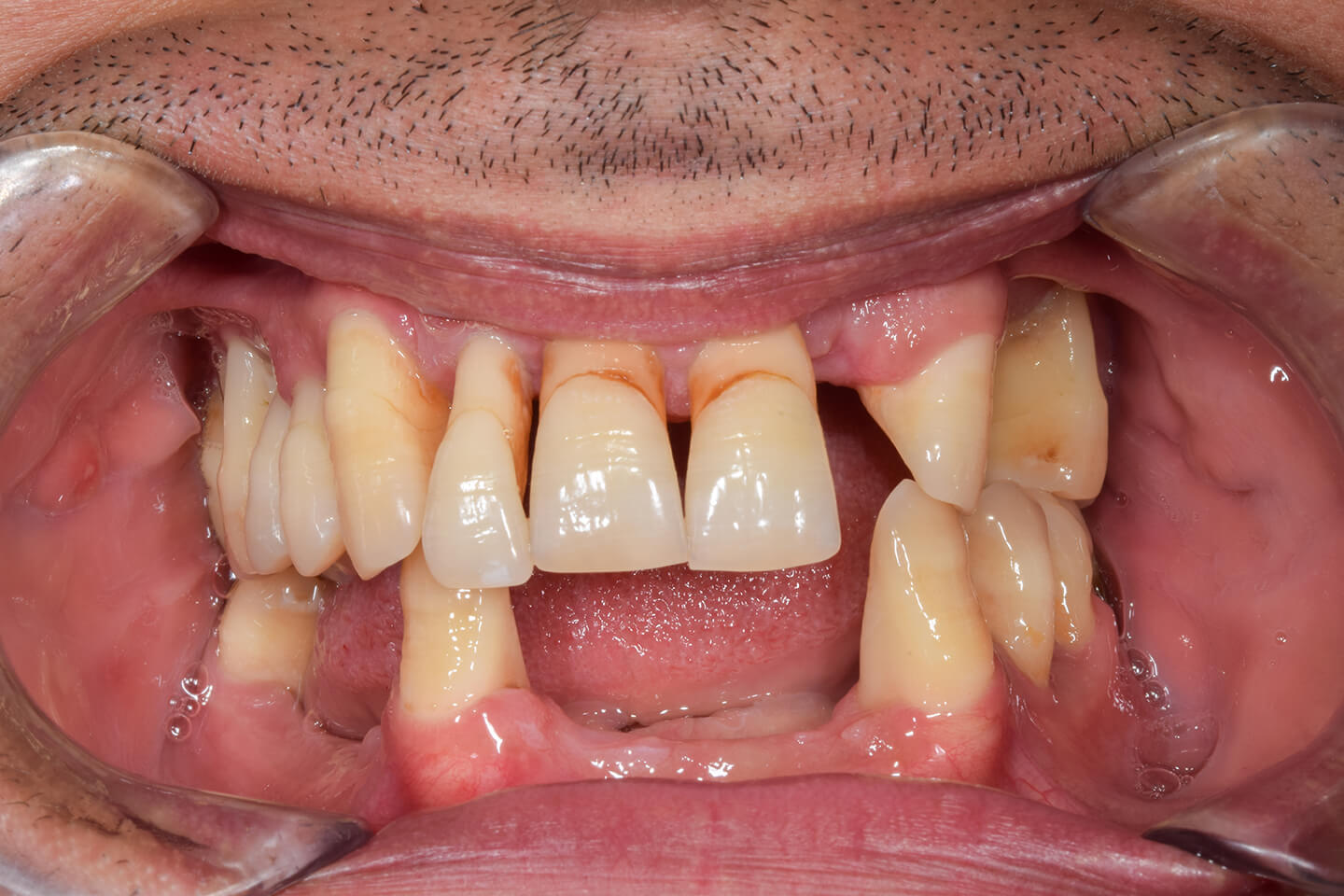
teeth implant 2502 6
未徹底牙周病會將植體暴露在高度風險中,細菌可能破壞植體讓牙齒再次脫落。

Q7. 牙周病常見問題 - 法夏爾來解惑?

Q1. 牙周病會自己好嗎?

牙周病並不會自己痊癒,若不加以治療將持續惡化,甚至導致牙齒鬆動、缺牙

Q2. 牙周病會傳染嗎?

請放心,牙周病原則上不會傳染。

Q3. 牙周病治療會痛嗎?

輕微牙周病透過洗牙或牙周清潔治療,完成後僅有暫時敏感的狀況。嚴重牙周病採取手術治療,通常也會局部麻醉,以降低患者疼痛感。

Q4. 如何正確刷牙才能有效預防牙周病?

做好清潔工作是維護口腔健康的關鍵。一般來說,貝氏刷牙法是許多牙醫師推薦的刷牙方式,訣竅包含牙刷刷毛需以 45 度角正對牙齦、至少刷滿 2 分鐘牙齒,咀嚼面和側面都要刷乾淨、並且搭配牙間刷及牙刷清潔牙縫等。詳細可參考衛福部說明

聽完法夏爾和醫師的說明,貝多芬這才明白植牙前要好好打地基,先治療好牙周病才是恢復口腔健康的捷徑!
在 18 世紀,法夏爾便已使用各種洗牙器械為患者治療牙結石。然而,如今超音波洗牙、水雷射等輔助工具的發明還是讓他大吃一驚,內心激動又羨慕現代科技的進步,「有這麼棒的工具,治療效率和品質真是提高好幾倍呢!」

誰是法夏爾?

kn all p

牙醫師法夏爾(Pierre Fauchard)
活躍於18世紀法國,

他首度把牙科從外科醫學獨立出來,

奠定牙科醫學專業,被稱為「現代牙科之父」。

「法夏爾來看牙」知識分享中,「現代牙科之父」法夏爾,將與法夏爾口腔智慧醫療團隊跨時代相遇,共同解決古今中外名人的牙齒疑難雜症,邀你一起參與,見證牙醫科學的奇蹟!

法夏爾口腔智慧醫療團隊

法夏爾口腔智慧醫療團隊致力以「良善、正直」的態度建議患者適合的醫療方案,提供更快速、痛感輕的新式治療。我們以先進數位設備輔助,確保診斷及手術精準度;精良的手術環境及監控設備,嚴格把關手術風險;植體選用國內外深受信賴的領導品牌,保障您的植牙治療成果。

如您有任何牙齒問題,讓我們為您解答!

*提醒:任何手術及療程都有醫療風險存在,若患者有特殊病史、如高血壓、嚴重心血管疾病、嚴重糖尿病、免疫系統不全、癌症等,或婦女計劃懷孕,經醫師評估後並不適合此術式,請勿輕易嘗試。

經過專業牙科醫師診治後,術式會因為每個人的身體及牙齒狀況不同,治療效果也會因此而異。術後必須定期回診檢查,徹底清潔與保養,若有任何醫療上的問題,請隨時與診所連絡。