【全口重建】讓牙齒回春!無牙變有牙只需要一日

share

畫家梵谷菸酒不離身,滿口牙齒掉得所剩無幾。
在弟弟西奧的安排下,他來到法夏爾口腔智慧醫療中心進行 All-on-4 全口重建手術。
「天啊!這位梵谷老兄,重度抽菸、沒保養、又缺營養,沒幾顆牙了!還能做什麼治療呢?」18世紀「牙科之父」法夏爾眼中的難題,現代的法夏爾口腔智慧醫療團隊卻能迎刃而解,其中秘密在於「All-on-4 全口重建 」。

Q1.「All-on-4 全口重建」是什麼?

「All-on-4 全口重建」是葡萄牙牙醫師 Dr. Paulo Malo 於 1993 年發明的植牙技術「All on 4 treatment concept」,專門用來解決大面積的缺牙問題。根據諾保科 (NOBEL BIOCARE) 原廠統計,目前全球已有超過 15 萬人完成 All-on-4 全口重建,五年來植牙成功率高達 93%,假牙成功率將近99%,是成熟可信賴的術式。

All-on-4 全口重建術式流程是植入 4 顆特殊設計的植體(人工牙根),藉由造橋力學原理,讓力量平均分散支撐整排牙齒,最後固定整排假牙即可完成。 All-on-4 全口重建費用對比傳統全口植牙費用相對低廉、手術時程短,加上傷口少、復原期也更短。

延伸閱讀:【全口重建】vs.【全口植牙】哪裡不一樣?入門到進階方案,助您重拾好牙!

傳統全口植牙與 All-on-4 全口重建比較
治療方式
傳統全口植牙
All-on-4 全口重建
手術方式
在齒槽骨植入植體,再將假牙安裝到植體上
植入4-6根植體,以造橋力學撐起整排牙齒,
術後先裝臨時假牙,植體穩固後換上正式假牙
補骨
補骨範圍較大
不需或少量補骨
適用族群&狀況
偏向年輕、青壯年族群
牙齦、骨頭較好
大範圍缺牙或少量缺牙
偏向老年族群
牙齦、骨頭較差
大範圍缺牙或全口無牙
手術時間
分次治療,療程較長
一日可完成
治療費用
單顆8-12萬
單顎(排)50-100萬
風險
手術傷口多,風險較高
臨時假牙需定期回診觀察
knowledge 1 01
knowledge 1 02 e1705303089740

Q2. 聽說 All-on-4 一日全口重建,手術當天就能擁有新牙?

All-on-4 全口重建根據造橋力學原理設計,在口腔顎骨植入植體,提供整排牙齒良好的支撐力和穩定性,而且一日內就能完成手術,裝上臨時假牙。相較於傳統全口植牙補骨需等待6個月左右的癒合時間,期間還需配戴活動假牙、或忍受缺牙的不便,All-on-4 一日全口重建,效果可說是馬上體會得到!

吳伯伯 09
左:術前 / 中:術後臨時假牙 / 右:術後正式假牙

Q3.「All-on-4 全口重建」適用/推薦對象?

因 All-on-4 全口重建是一次性完成整顎(上/ 下顎),所以適合大範圍缺牙或近乎無牙的患者;此外,若您有時間壓力、希望立見成效, All-on-4 全口重建擁有療程快,且當天就能安裝臨時假牙等諸多優點,也推薦您考慮此治療方案。近年來,由於 All-on-4 全口重建治療效率高,在市場上日漸普及,成為越來越多年長者進行缺牙治療的首選方案。

延伸閱讀:老人家沒牙齒卻不適合植牙怎麼辦?牙醫一致推薦「這方法」!

All on 4 全口重建
All on 4 全口重建

Q4.「All-on-4全口重建」優點?

All-on-4 全口重建近年來受到大眾的青睞,它究竟有哪些優點呢?以下一起來了解!

優點1 | 治療效率高

All-on-4 全口重建不像全口植牙需要額外進行大範圍補骨補肉手術,一日即可完成,安裝臨時假牙。

優點2 | 傷口少復原快

All-on-4全口重建術式只需植入 4 根植體,手術時間短、次數少,降低患者身體負擔及手術風險。

優點3 | 咬合能力佳

All-on-4全口重建造橋力學特殊設計,提供宛如真牙的舒適咬合體驗。

優點4 | 價格相對實惠

傳統全口植牙單顆植牙價格約落在 8-12萬,All-on-4全口重建單顎約落在 50-100萬,可說是較為經濟的選擇。

優點5 | 成熟可信賴術式

根據諾保科 (NOBEL) 原廠統計,目前全球已有超過 15 萬人完成 All-on-4 全口重建,五年來植牙成功率高達 93%,假牙成功率將近 99%。

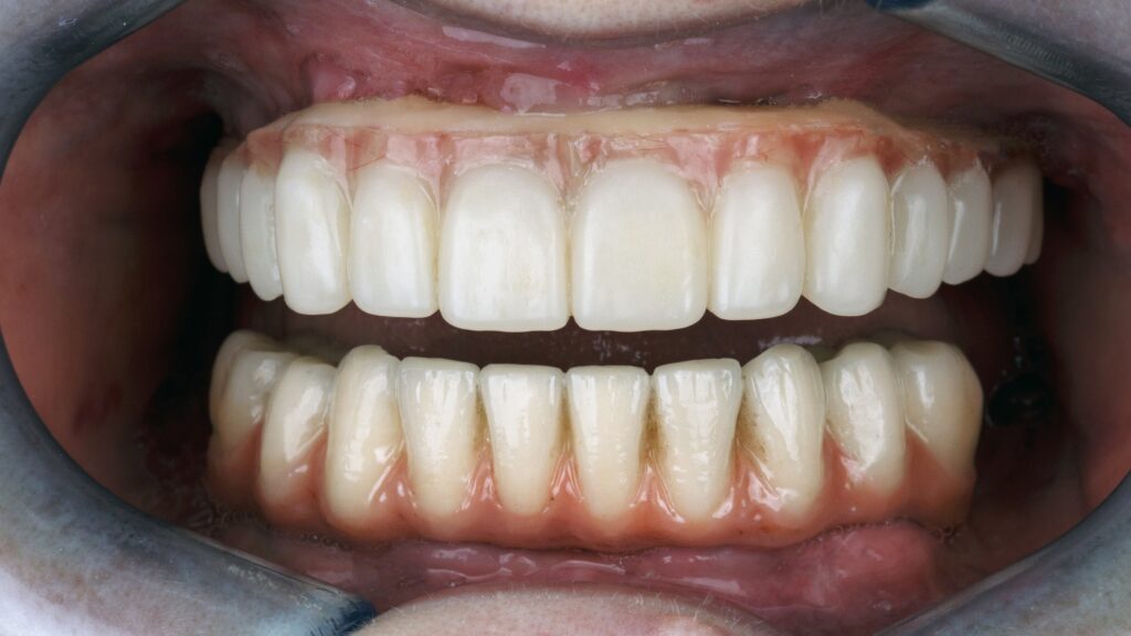
All-on-4 全口重建手術當日即可安裝臨時假牙

▲All-on-4 全口重建手術當日即可安裝臨時假牙

Q5.「All-on-4 全口重建」缺點?

看完優點,別忘了也仔細斟酌缺點,才能完整評估療程!以下All-on-4 全口重建缺點供您參考:

缺點1 | 手術難度高

All-on-4 全口重建是手術難度較高的術式,手術需精準且仔細避開面部血管及神經,務必評估值得信賴的醫師進行治療。

缺點2 | 術後風險

只要是手術,必定伴隨風險。All-on-4 全口重建植牙術後需妥善照護,若未確實清潔或抽菸,都有可能面臨感染風險,甚至導致手術失敗。
了解更多All-on-4 失敗風險:【全口重建】All on 4 失敗代價大!小知識讓你輕鬆避雷

缺點3 | 患者條件限制

並非人人都適合All-on-4 全口重建手術,年齡、慢性疾病等都可能影響手術成功機率,需經由專業醫師完整評估方能進行手術。

缺點4 | 臨時假牙適應期

儘管All-on-4 全口重建擁有宛如真牙的咬合體驗,術後仍需經歷一段適應期,但不需擔心,隨著時間推移,口腔內的異物感將逐漸消失。

做好清潔工作是All-on-4 全口重建術後照護非常重要的一環

▲做好清潔工作是All-on-4 全口重建術後照護非常重要的一環

Q6.「All-on-4 全口重建」成功案例?

法夏爾口腔智慧醫療團隊累積多年臨床經驗,成功協助無數患者找回笑容。以下成功案例供您參考,更歡迎您透過線上諮詢,讓專人為您解說更多細節喔!

成功案例1 | 蔡伯伯

醫師與您進行一對一諮詢,評估口內狀況並解說 All-on-4 全口重建手術流程及風險,站在專業角度給予適當治療計劃。

蔡伯伯戴活動假牙多年,就算配合使用假牙黏著劑,牙齒仍動不動就脫落,也讓他退休後的旅遊不堪其擾,始終無法盡興享用美食。這個棘手問題,在他碰上法夏爾口腔智慧醫療團隊後竟迎刃而解?

進一步閱讀:All-on-4 案例分享|全口重建後 退休的蔡伯伯終於可以吃得安心、玩得盡興

成功案例2 | 吳伯伯

運將吳伯伯因活動假牙不穩固常年只能吃特定軟爛的食物,不但餐點準備不易,也不知不覺犧牲了健康,變得日漸憔悴。一切在All-on-4 全口重建後一百八十度大轉變,周遭的人都說吳伯伯簡直回春,變得年輕帥氣?

進一步閱讀:All-on-4 案例分享|全口重建讓運將吳伯伯找回健康與自信

完成All-on-4 全口重建手術後,吳伯伯整個人氣色好了起來

▲完成All-on-4 全口重建手術後,吳伯伯整個人氣色好了起來

Q7.「All-on-4 全口重建」手術包含哪些治療流程?

Step1. 諮詢評估
醫師與您進行一對一諮詢,評估口內狀況並解說 All-on-4 全口重建手術流程及風險,站在專業角度給予適當治療計劃。

knowledge 1 05

Step2. 設備檢查
法夏爾口腔智慧醫療團隊利用 3shape 數位口內掃描機設備協助蒐集細部全口資料提高 All-on-4 全口重建治療精準度。透過 CBCT 錐狀束電腦斷層協助醫師判斷骨頭狀況、鼻竇位置及高度。

knowledge 1 06

Step3. 確認方案
醫師依照您的身體狀況給予安全性建議。
依照日常用藥及病史,整體統整考量後,制定專屬 All-on-4 全口重建治療計劃,詳細說明各個治療環節。

knowledge 1 07

Step4. 進行手術
簽署 All-on-4 全口重建手術及麻醉同意書後,醫師為您進行麻醉、植入植體(人工牙根),手術完成後裝戴全口固定臨時假牙,回家後可簡單飲食、慢慢適應假牙咬合及弧度。
法夏爾口腔智慧醫療團隊在進行 All-on-4 全口重建手術時會搭配 TCI 舒眠牙醫治療,利用電腦軟體根據患者條件(年齡/ 性別/ 身高/ 體重等)計算藥物濃度,儀器透過靜脈注射精準給予鎮靜劑量並調配速度,過程中麻醉醫師全程監控,並搭配生理監測器、氧氣補給等各種輔佐設施,確保療程安全與穩定。
TCI屬於淺層麻醉,患者既維持生理放鬆狀態,又仍可自行進行呼吸、吞嚥、反射等動作,在淺眠般自然舒適狀態下完成 All-on-4 全口重建手術。而術後絕大多數患者都能在 10-15 分鐘舒服地醒來,作息幾乎不受影響,也極少發生噁心嘔吐等傳統全身麻醉副作用。

knowledge 1 08

Step5. 裝上全口固定式臨時假牙
手術完成後裝戴全口固定臨時假牙,回家後即可開始簡單飲食,也可慢慢開始適應假牙咬合及弧度。

knowledge 1 10

Step6. 術後定期追蹤
術後一個月、三個月定期回診追蹤,檢視全口固定臨時假牙在口腔內的清潔狀況及咬合。

knowledge 1 11

Step7. 印模裝戴正式全口固定式假牙
術後約第5-6個月,視狀況開始印模型取得咬合位置、製作蠟型、試戴排牙、將正式假牙鎖在植體上,療程完成。

法夏爾來看牙 Allon4手術當天流程 工作區域 1 複本 9

Step8. 定期回診追蹤
裝上正式固定假牙後 2 周、1 個月、3 個月定期回診(視患者狀況而定),檢視口腔清潔狀況及咬合調整。

全口重建-Zygoma

Q8.「All-on-4 全口重建」手術費用?

市面上 All-on-4 全口重建費用約落在單顎(排)50-100 萬左右,實際金額可能因植體品牌、假牙材質、治療方案及設備而有所不同,法夏爾口腔智慧醫療目前提供的植體品牌為諾保科(NOBEL BIOCARE),如有需求歡迎您線上諮詢,讓我們為您解答。

諾保科 (NOBEL BIOCARE)
諾保科(NOBEL BIOCARE)是來自瑞典的植體品牌,歷史悠久,植體的表面處理有超強護齦能力、骨整合能力佳,利於日後維護。有充足的研究文獻,豐富的臨床實驗,龐大的品牌資源,在技術上也是十分有保障。全球各地遍佈據點,即便日後出國工作、移民,維修上完全不用擔心零件問題,原廠提供終身保固。

諾保科(NOBEL BIOCARE) 植體材質分別有:純鈦、鈦合金、鈦鋯等三種,醫師會依照患者骨頭條件選擇適合的螺紋與植體材質。

Q9.「All-on-4 全口重建」可以分期付款嗎?

當投入療程之前,免不了還是需要考慮治療成本、衡量自身經濟狀況綜合評估,為了減輕患者經濟負擔,目前市場上許多牙科醫院診所都已推出分期付款,提供更彈性的付款方案。法夏爾始終以您的健康為首要考量,設計眾多配套方案讓您能無後顧之憂地接受治療,歡迎您透過線上諮詢與我們聯繫,以獲得更準確的資訊與個人化諮詢服務。

Q10.「All-on-4 全口重建」可以申請政府補助嗎?

目前全台各縣市假牙補助申請依年齡(55歲 / 65歲)、中低收入證明及原住民資格等,條件各有不同,但範圍僅限傳統全口活動假牙及固定假牙等, All-on-4 全口重建暫無補助。然而,由於補助辦法仍可能因政策實施或年度更換而改變,詳情請詢問當地里長、衛生所或您就診的牙醫機構。

法夏爾口腔智慧醫療團隊順利完成 All-on-4 全口重建手術,梵谷先生從舒眠麻醉中醒來,睡眼惺忪望著鏡子裡面重獲牙齒的自己,仍一副難以置信的表情。
「試著笑一下吧!」從旁協助的法夏爾不斷鼓勵梵谷「笑容練習」,看起來比梵谷本人更雀躍。除了對醫學知識的探求令他興奮以外,手術完成後梵谷先生重拾的笑容,更讓他得到無可取代的感動。

誰是法夏爾?

kn all p

牙醫師法夏爾(Pierre Fauchard)
活躍於18世紀法國,

他首度把牙科從外科醫學獨立出來,

奠定牙科醫學專業,被稱為「現代牙科之父」。

「法夏爾來看牙」知識分享中,「現代牙科之父」法夏爾,將與法夏爾口腔智慧醫療團隊跨時代相遇,共同解決古今中外名人的牙齒疑難雜症,邀你一起參與,見證牙醫科學的奇蹟!

法夏爾口腔智慧醫療團隊

法夏爾口腔智慧醫療團隊致力以「良善、正直」的態度建議患者適合的醫療方案,提供更快速、痛感輕的新式治療。我們以先進數位設備輔助,確保診斷及手術精準度;精良的手術環境及監控設備,嚴格把關手術風險;植體選用國內外深受信賴的領導品牌,保障您的植牙治療成果。

如您有任何牙齒問題,讓我們為您解答!

*提醒:任何手術及療程都有醫療風險存在,若患者有特殊病史、如高血壓、嚴重心血管疾病、嚴重糖尿病、免疫系統不全、癌症等,或婦女計劃懷孕,經醫師評估後並不適合此術式,請勿輕易嘗試。

經過專業牙科醫師診治後,術式會因為每個人的身體及牙齒狀況不同,治療效果也會因此而異。術後必須定期回診檢查,徹底清潔與保養,若有任何醫療上的問題,請隨時與診所連絡。